トップ > 疾患と治療 > リウマチ性脊椎炎

疾患と治療

りうまちせいせきついえん

リウマチ性脊椎炎

脊椎は、頚椎、胸椎、腰椎、仙椎、尾椎から成る連なった骨の構造で、私たちの背骨としての役割を果たしています。脊椎の各骨は「椎体」と呼ばれ、それらは椎間板や関節でつながっています。リウマチ性脊椎炎は、関節リウマチによる全身性の炎症により引き起こされる脊椎(特に頚椎や腰椎)を中心とした慢性的な疾患です。

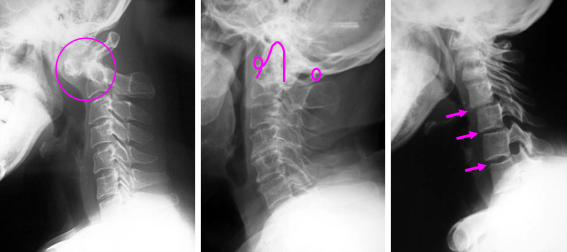
女性に多く、関節リウマチによる四肢関節炎が進行すると、頚椎にも異常をきたします。関節リウマチの診断は、症状、身体診察、血液検査などにより、リウマチ性脊椎炎は画像検査(X線、CT、MRI)に基づいて行われます。病初期は上位頚椎(第1-2頚椎)の関節が破綻し、環軸関節亜脱臼(AAS)を呈します。次第に垂直性亜脱臼(VS)に進行し、末期では第3-7頚椎に軸椎下亜脱臼(SAS)を呈します。病初期のAASでは、頚部痛が主体の症状が多く、第1-2頚椎の不安定性が強い場合や進行性の麻痺症例では手術が必要になります。VSやSASでは、頭蓋底陥入症や脊髄の圧迫による症状が出現し、積極的な手術が必要になる事が多いのが特徴です。 近年では、生物学的製剤などの普及により、リウマチ性脊椎炎の発生頻度は低くなっていますが、未治療あるいは治療に反応しづらい関節リウマチによるリウマチ性脊椎炎では、なお外科的な治療が必要な事があります。石井賢医師は、日本整形外科学会認定リウマチ医であり、これまで多くのリウマチ性脊椎炎の治療を担当しています。


図 (左)環軸関節亜脱臼(AAS)(まん中)垂直性亜脱臼(VS)(右)軸椎下亜脱臼(SAS)

topへ戻る