疾患と治療
せきついしゅよう
脊椎腫瘍
脊椎腫瘍は、脊椎(せぼね)の異常な細胞増殖によって生じます。脊椎腫瘍は、一次的(直接脊椎で発生)または二次的(他の場所から転移)であり、良性または悪性に分類されます。疫学的には、成人では二次腫瘍が一般的で、特に肺、乳房、前立腺、腎臓、甲状腺などの悪性腫瘍からの転移が多くみられます。
脊椎腫瘍の症状は、腫瘍の位置、大きさ、成長速度によります。一般的な症状は、背痛(しばしば夜間や休息時に悪化)、神経症状(四肢の感覚異常や運動麻痺)、体重減少、疲労などです。重症の場合、腫瘍が脊髄を圧迫すると、排尿や排便の異常、歩行困難が生じることもあります。
診断は、まず患者の病歴と身体的な検査により行われ、その後、MRI、CT、PETなどの画像検査が用いられます。これらの検査で腫瘍の位置、大きさ、脊髄への影響を評価します。時には脊椎穿刺や生検が行われ、組織を採取し、腫瘍のタイプを特定します。
治療は、腫瘍の種類、位置、大きさ、一般的な健康状態などに基づきます。外科的な治療は、腫瘍を除去し、脊髄の圧迫を減らし、脊椎の安定化を図るために行われます。また、放射線療法、化学療法、免疫療法などの補助療法も適用されます。患者の痛みや他の症状を管理するための緩和ケアも重要な部分を占めます。
転移性脊椎腫瘍に対するミスト手術
MISt 最小侵襲脊椎安定術(Minimally
Invasive spine Stabilization)
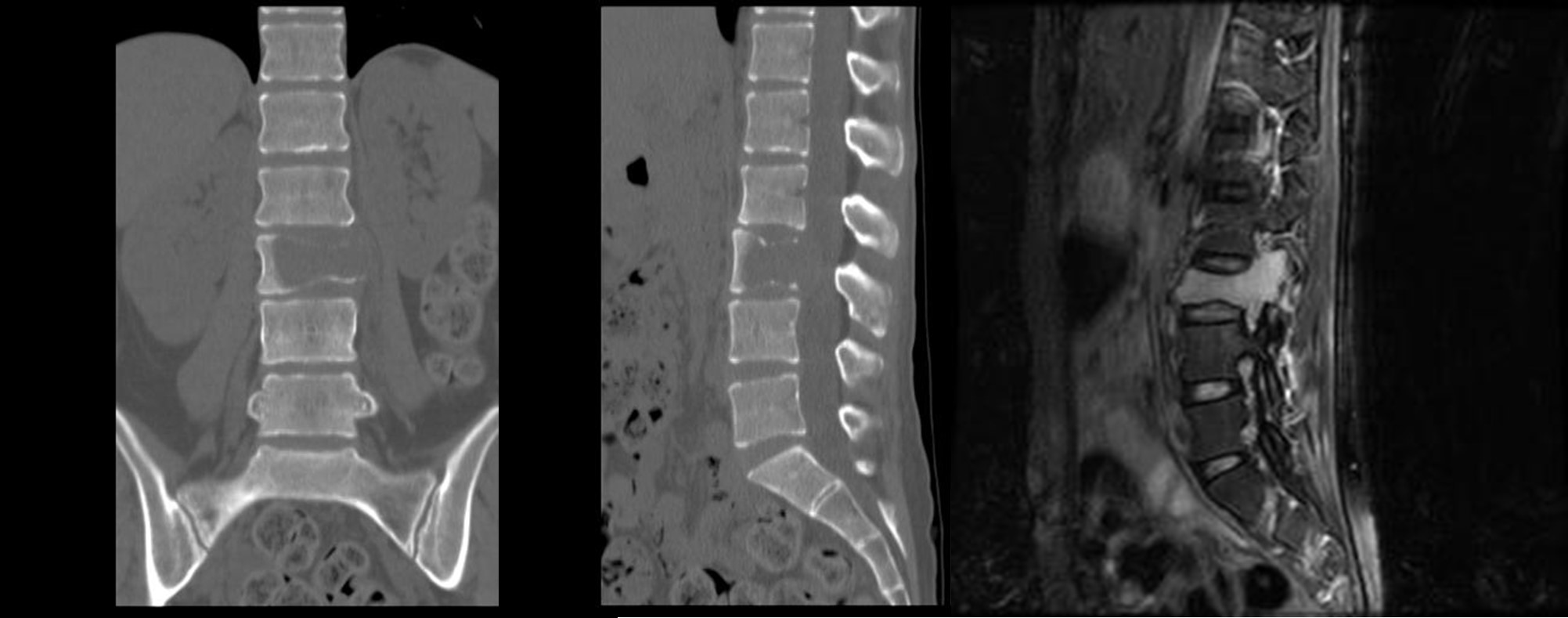
図 肺がんの転移性脊椎腫瘍 (矢印と〇で囲った黒い部分が腫瘍)

図 原発性(一次性)脊椎腫瘍
(左、まん中)矢印で骨が腫瘍で欠損している。
(右)矢印の白い部分が腫瘍