疾患と治療
けいついついきゅうけいせいじゅつかたびらきりょうびらきしきついきゅうけいせいじゅつ
頚椎椎弓形成術―片開き・両開き式椎弓形成術
頚部の脊髄の圧迫解除を目的として、いくつかの手術法があります。
代表的な手術法に、片開き式あるいは両開き式椎弓形成術があります。高齢者や併存疾患の多い患者様に対しても、安全で安定した成績のある優れた術式です。片開き式椎弓形成術(ELAP)は、頚椎症性脊髄症、頚椎後縦靭帯骨化症、頚椎椎間板ヘルニアなどによる頚部の脊髄症に幅広い適応があります。一般に多椎間狭窄例に対して用いられます。手術は、後方より5㎝ほど切開して椎弓(首の骨の後ろの部分)の両側に溝を掘り、片側のみ骨の連続性を残して扉を開くように脊柱管を拡大します。開いた椎弓は、術後に閉じないように原則金属プレート(インプラント)で固定します。石井医師は片開き式椎弓形成術において、筋肉を極力温存する術式を行っています。
手術時間は1-1.5時間で出血量は50ml以下(石井賢医師による過去100症例の平均出血量32ml)と、身体への負担が少ない点がこの術式の利点です。通常、手術翌日より座位や歩行訓練を開始し、食事も可能です。手術後の装具は病態により装着を考慮します

図 首を輪切りでみたイラスト
(上)手術前:神経の通り道(脊柱管)が狭く、脊髄が圧迫されている。
(下)手術後:椎弓を開き、インプラントで固定。神経の通り道(脊柱管)が広がり、脊髄の圧迫がない。

図 頚椎後縦靭帯骨化症
(左)術前レントゲン:椎体後方に後縦靭帯の骨化があります。
(まん中)術前MRI:骨化により脊髄が強く圧迫されています。
(右)術後レントゲン:椎弓が開き、脊柱管が拡大し、神経の通り道が拡大しています。

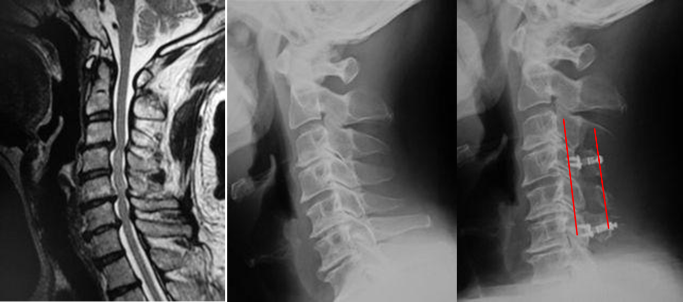
図 頚椎症性脊髄症
(左)術前MRI: 神経の通り道(脊柱管)が狭く、脊髄が圧迫されています。
(まん中)術前レントゲン:神経の通り道(脊柱菅)を赤線で示しています。
(右)術後レントゲン:神経の通り道(脊柱管)の赤線が
拡大しています。