疾患と治療
えむあいえす・てぃーりふさいしょうしんしゅうようついこうほうついたいかんこていじゅつ
MIS・TLIF最小侵襲腰椎後方椎体間固定術(Minimally invasive surgery-transforaminal lumbar interbody fusion)
近年日本で急速に普及している術式で、欧米では標準の手術法です。
従来の後方固定術(PLIFあるいはTLIF)では約12-15cmの切開が必要ですが、この手法ですと約3cmの切開が2ヵ所程度ですみます。上記のMEDと同様に直径約22-26mmの筒を設置後に内視鏡を装着し、手術を行います。対象となる疾患は、腰椎椎間板ヘルニア、腰部脊柱管狭窄(症)、腰椎変性すべり症、腰椎変性側弯症、腰椎後弯症、腰椎分離(すべり)症の一部などです。原則、手術翌日より起立・歩行を開始します。入院期間は最短で約7日程度ですが、病態により異なります。また、手術後は硬いコルセットを装着します。

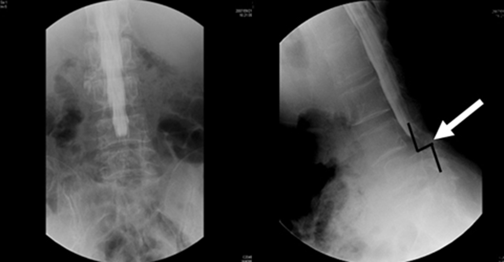
図 手術前:階段状に脊椎(せぼね)がずれています。(矢印で示す部分)

図 (上段左、まん中、右)手術後:ずれているせぼねが矯正されています。(線で示す部分)
(下段)傷は両サイドに縦に約3cm弱と小切開です。皮膚切開が小さいだけでなく、皮下の筋肉などの軟部組織の損傷が極めて小さいことが特徴です。