トップ > 疾患と治療 > 脊柱変形・腰椎変性(後)側弯症に対するLIFによる矯正固定術

疾患と治療

せきちゅうへんけい・ようついへんせい(こう)そくわんしょうにたいするLIFによるきょうせいこていじゅつ

脊柱変形・腰椎変性(後)側弯症に対するLIFによる矯正固定術

腰椎変性側弯(後弯)症に対する矯正固定術は、体にかかる負担が多い手術の一つです。従来の後方単独の手術に比較して、LIFを併用した手術は出血量が少ないことが報告されています。最大の利点は、脊柱管を直接触らないで圧迫から解除したり、背骨の変形を矯正できる点にあります。重要な神経をよけながら、側方から椎間板内に50%以上の面積を占める大きな人工骨を移植することにより、前方・側方すべり、あるいは側弯・後弯変形などを矯正することができます。さらに、後方からの固定を追加し、さらなる矯正と強固な固定を行います。入院期間は、最短で約14日程度ですが、病態により異なります。術後は、硬いコルセットやギプスを装着します。

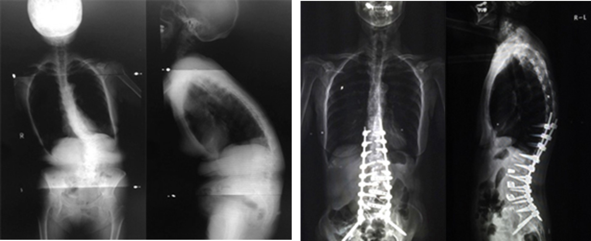
図 (左)術前は、脊椎(せぼね)の彎曲により体幹のバランスを保てず、右側および前方に体が大きく傾いていました。強い腰痛で数分しか立てず、日常生活が著しく制限されていました。

(右)本症例では、人工スペーサーや金属性のスクリューなどを用いた矯正固定術を行い、姿勢バランスとともに臨床症状も著明に改善しました。最近では、側方経路腰椎椎体間固定術(Lateral Lumbar Interbody Fusion: LIF)や、経皮的椎弓根スクリュー(Percutaneous Pedicle Screw: PPS)をはじめとした体への負担を軽減する手法も取り入れられています。

石井賢医師臨床チームは、前述のXLIF(エックスリフ)やOLIF(オーリフ)を用いて、できるだけ低侵襲な手術を行い、患者様の早期社会復帰を目指しています。


【健康寿命を伸ばす! 腰痛対策最前線】超高齢化で10年前から増えている成人脊柱変形 国際医療福祉大学成田病院・石井賢副院長に聞く(3/3ページ) - zakⅡ

topへ戻る