トップ > 疾患と治療 > 側方経路胸椎椎体間固定術(XLIF THORACIC)

疾患と治療

そくほうけいろきょうついついたいかんばんたいかんこていじゅつ

側方経路胸椎椎体間固定術(XLIF THORACIC)

側方経路腰椎椎体間固定術(XLIF:エックスリフ)は、先述の通り腰椎のさまざまな病態に対して非常に有用な手術の方法です。脊椎が大きく曲がっている病態、すなわち脊柱変形の手術では、腰椎のみならずその上にある胸椎(きょうつい)にまで手術の範囲が及ぶことも少なくありません。
しかし、腰椎と胸椎の周囲では構造が大きく異なり、特に肺や心臓、その周囲の大血管などの重要臓器の扱いは十分に注意が必要です。そのため胸椎に対するXLIF(エックスリフ)は実施する施設・医師に厳格な基準が設けられており、国内でもごく限られた施設(2018年時点で10施設)で行われています。

対象となる疾患は、胸椎部を含む脊柱変形(側弯症・後弯症)や椎体骨折後の後弯変形、胸椎固定術後の偽関節(骨癒合が不良な状態)、隣接椎間障害(固定術を受けた上下に障害が出ている状態)、また胸椎椎間板ヘルニアなどです。
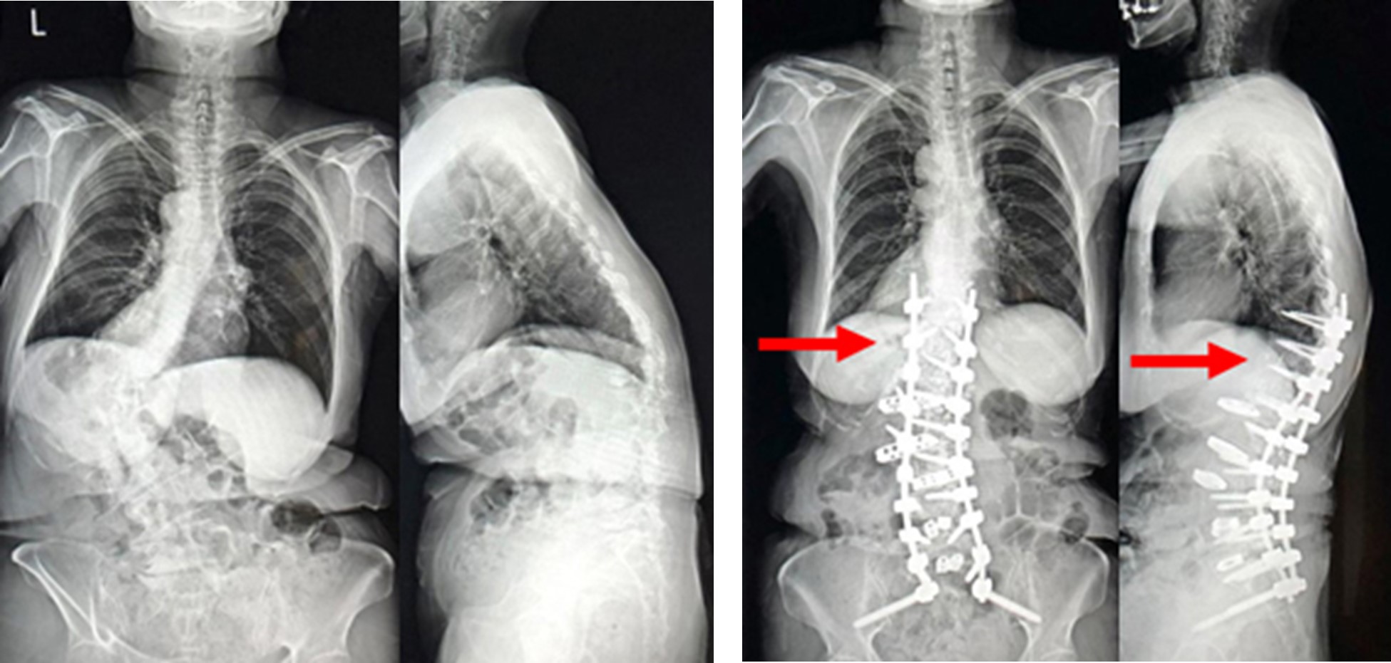
胸椎XLIF(エックスリフ)は、腰椎と同様に従来法に比べても身体に負担の少ない低侵襲での治療を可能にします。原則、手術翌日より起立・歩行を開始します。入院期間は最短で約7日程度ですが、病態により異なります。また、手術後は硬いコルセットを装着します。術前のX線画像。胸椎までおよぶ脊椎の変形を認めます。


図 (左)術前のX線画像

(右)術後のX線画像。胸椎と腰椎に対する側方経路椎体間固定術(XLIF:エックスリフ)を行い、良好な矯正が得られています。

topへ戻る