トップ > 疾患と治療 > ACR(Anterior Column Realignment):腰椎ハイパーロルドーティック ケージ

疾患と治療

えーしーあーるようついはいぱーろるどーてぃっくけーじ

ACR(Anterior Column Realignment):腰椎ハイパーロルドーティック ケージ

脊椎が大きく曲がっている状態を脊柱変形と呼びます。脊柱変形の手術は一般に長範囲の脊椎矯正固定術が必要となるため、侵襲が大きく高い合併症の発生率が問題となってきました。
石井賢医師では最小侵襲手術に積極的に取り組んでおり、先述したXLIF(エックスリフ)は、腰部脊柱管狭窄症や腰椎変性すべり症などの変性疾患のみならず、脊柱変形に対しても実施されています。
XLIF(エックスリフ)は、前縦靭帯(ALL)という脊椎の前にある靭帯を温存して行う手術ですが、近年脊柱変形とくに後弯症(背骨が前に曲がってしまう)の矯正のために、ALLを切離して矯正をするACR(Anterior Column Realignment)が欧米で開発され、本邦にも導入されました。従来の脊柱変形手術よりも低侵襲に変形を矯正できる手術法として注目されています。

しかし、ALL切離を伴うACRは、大血管をはじめ腹部臓器損傷に十分な注意払う必要があり、国内でも限られた医師と医療機関でのみ実施されています。
対象となる疾患は、腰椎変性後弯症、腰椎固定術後後弯症、腰椎椎体骨折後後弯症などです。
手術翌日から3日程度で起立・歩行訓練を開始します。入院期間は、最短で約2週間程度ですが病態により異なります。手術後は硬いコルセットを装着します。


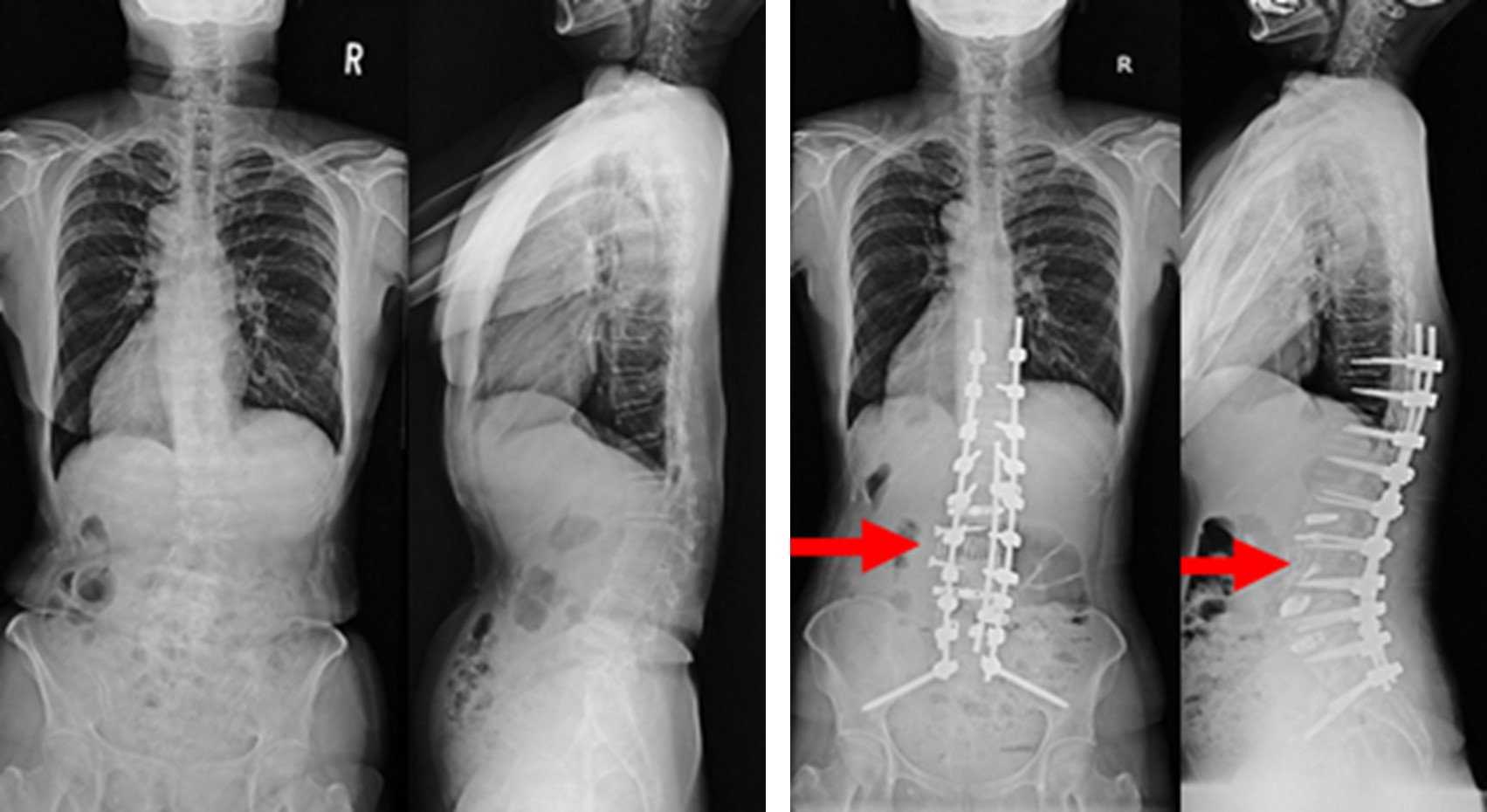
図 (左)術前は腰椎の側弯および強い後弯変形を認め、腰痛により長時間の立位が保持できず、日常生活が著しく制限されていました。

(右)術後は、本来の脊椎の並びに近い形に矯正され、腰痛の改善とともに日常生活レベルの改善を認めました。

topへ戻る